Guarda gli argomenti della categoria:  

Autore Messaggio
ROBROSSI
Utente di ABCsalute.it
Messaggi: 10
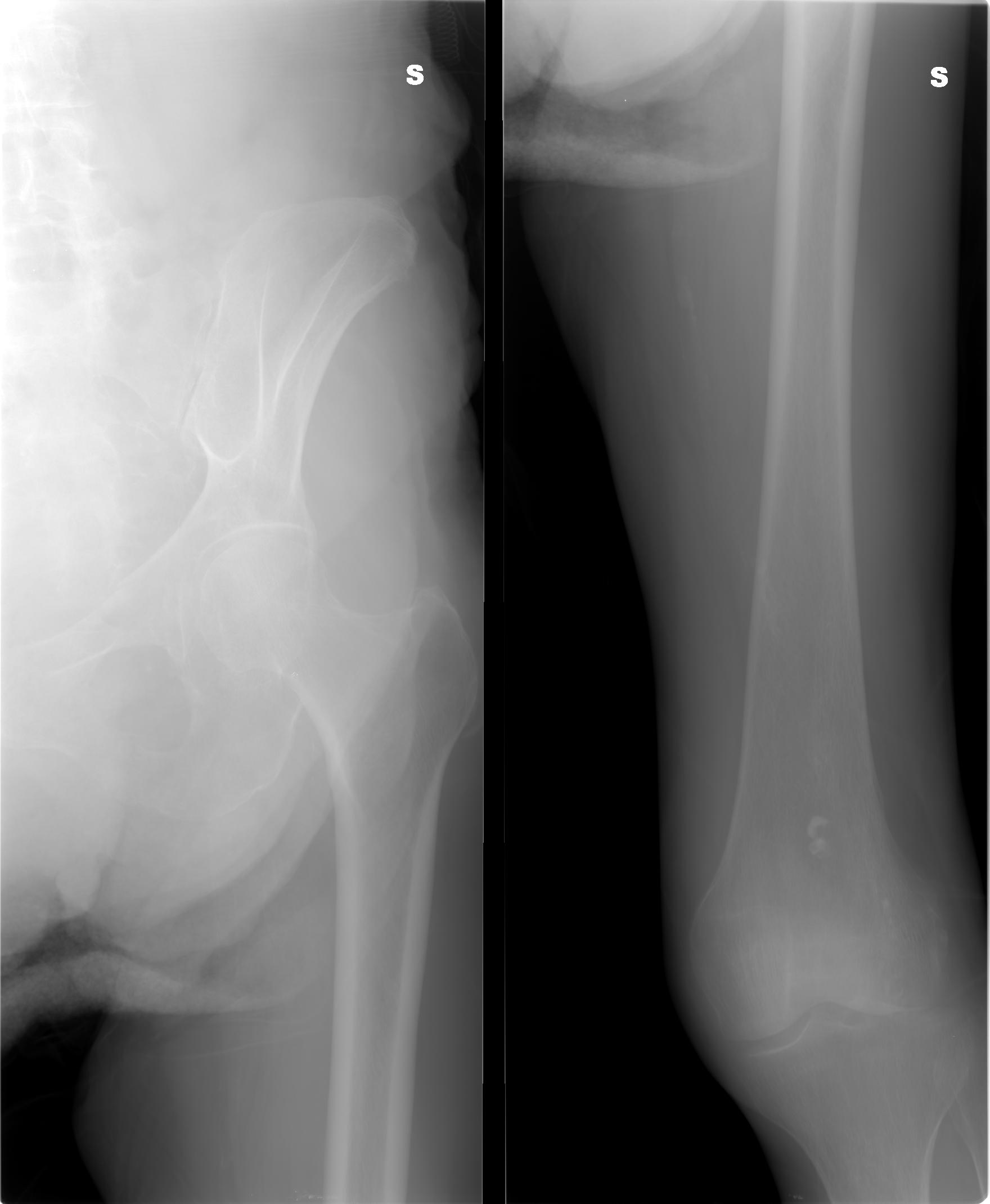
SALVE, ho ritirato un referto lastra per mia madre 80 anni e dice le seguenti parole: per quanto apprezzabile nel radiogramma a disposizione si osserva frattura composta della branca ile pubica sinistra .Sospetta frattura (o esiti fratturativi?) a carico dell branca ischio pubica omolaterale.

cosa significa? ho letto che per le fratture pubiche serve solo antidolorifici, ricostruenti ossei riposo e pian piano dopo una settimana circa ricominciare a camminare con fisioterapia associata..
allego le lastre potete consigliarmi?


Allegati:
I00001.JPG
[ 123.31 KiB | Osservato 1287 volte ]
I00001 (2).JPG
[ 113.6 KiB | Osservato 1287 volte ]
I00001 (1).JPG
[ 122.11 KiB | Osservato 1287 volte ]
 
1 messaggio
Rispondi all’argomento


Visualizza ultimi messaggi:  Ordina per  











NOTIZIE PER LA SALUTE

Frattura del polso: sintomi, cause e cura

Cosa si intende per frattura del polso?Per frattura dell'articolazione del polso si intende una lesi...

Il Fisiatra affronta i problemi dell’atleta professionista

Il Fisiatra cura l’atleta professionista che soffre spesso di patologie difficili da superare....

Osteoporosi: 3 sintomi e qualche consiglio di prevenzione Osteoporosi: 3 sintomi e qualche consiglio di prevenzione

L’osteoporosi è una malattia cronica legata al fisiologico processo di invecchiamento. È causata dal...

Frattura del femore Frattura del femore

Il femore è l’osso più lungo e voluminoso del corpo umano, collega l’anca al ginocchio e supporta il...



TROVA LO SPECIALISTA

Dott. Andrea Poidomani

Il Fisioterapista a Ragusa dott. Andrea Poidomani, grazie alla sua consolidata e...

Casa di Cura San Michele

La Casa di Cura San Michele ha come caratteri distintivi la competenza professio...

Hermes S.r.l. del Dr Mario Pastorelli

Il Centro Polispecialistico a Grosseto Hermes fornisce prestazioni professionali...



ABCsalute S.r.l. ora axélero S.p.A. Copyright 2009 - 2026 ©Tutti i diritti riservati - C.F./Partita IVA IT 07731860966
Sede Legale: via Cartesio, 2 20124 Milano - Cap. Soc. € 68.000,00 i.v - R.E.A. Milano n. 1978319 - N.Telefono +39 02 83623320 - info@axelero.it

Aggiornato al 20/03/2017 - Il sito si finanzia con gli abbonamenti dei medici inserzionisti e non riceve finanziamenti dalla pubblicità o dalla visualizzazione di contenuti commerciali.
Il contenuto editoriale del sito non è influenzato dalle fonti di finanziamento.