Guarda gli argomenti della categoria:  

Autore Messaggio
Naike
Utente di ABCsalute.it
Messaggi: 3
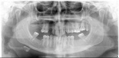
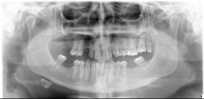
Buonasera scrivo per avere maggiori dettagli (opinioni specialistiche )sulla mia situazione non facile é da tempo che avverto dolore a dei dent,i caso strano la notte dormo specifico non mi sveglio per il dolore che al contrario mi accompagna nell'arco della giornata ad intervalli più o meno intensi inserisco la mia ortopanoramica . Saluti


Allegati:
chicca.jpg
[ 51.31 KiB | Osservato 2019 volte ]
chicca.jpg
[ 51.31 KiB | Osservato 2027 volte ]
 
1 messaggio
Rispondi all’argomento


Visualizza ultimi messaggi:  Ordina per  





ESAMI O PRESTAZIONI MEDICHE CORRELATE

Devitalizzazione dentale

Quando il dente è attaccato da una carie profonda o subisce altri traumi, i batteri prolificano in profondità fino a popolare e infiammare la polpa dentale. In questi casi, il dentista procede con la ...







NOTIZIE PER LA SALUTE

Soluzioni estetiche realizzate direttamente sul dente

1)Estetica conservativa, perché si agisce sui denti naturali senza ridurli, con: A) Sbiancam...

Lo sbiancamento dei denti per illuminare il sorriso Lo sbiancamento dei denti per illuminare il sorriso

Lo sbiancamento dei denti è un metodo utilizzato dai dentisti per rendere più bianchi ...

Denti da latte, vanno curati? Denti da latte, vanno curati?

A volte si hanno alcune idee sbagliate circa il concetto di salute e prevenzione, come ad esempio qu...

Soluzioni estetiche di laboratorio consegnate dall'odontoiatra al paziente con denti

In questo file parleremo di Estetica protesica, perché si agisce sui denti naturali, limandol...



TROVA LO SPECIALISTA

Studio Medico Dr Patrizia Tesei

L’Odontoiatra di Pavia  Dr.ssa Tesei collabora con il Dr Fr...

Centro Atlas - Dr Rosanna Di Giosaffatte

Centro di Medicina Funzionale a Pescara. Il Centro Atlas è diretto dalla ...



ABCsalute S.r.l. ora axélero S.p.A. Copyright 2009 - 2026 ©Tutti i diritti riservati - C.F./Partita IVA IT 07731860966
Sede Legale: via Cartesio, 2 20124 Milano - Cap. Soc. € 68.000,00 i.v - R.E.A. Milano n. 1978319 - N.Telefono +39 02 83623320 - info@axelero.it

Aggiornato al 20/03/2017 - Il sito si finanzia con gli abbonamenti dei medici inserzionisti e non riceve finanziamenti dalla pubblicità o dalla visualizzazione di contenuti commerciali.
Il contenuto editoriale del sito non è influenzato dalle fonti di finanziamento.