Guarda gli argomenti della categoria:  

Autore Messaggio
Morgan79
Utente di ABCsalute.it
Messaggi: 1
Egregi dottori,

Scrivo per sottoporvi una questione che mi sta facendo impazzire. Soffro di ernia discale dal 2009. Dopo innumerevoli visite specialistiche di tutti i tipi, finalmente il terzo neurochirurgo che consulto decide di operarmi. L''intervento è avvenuto circa un anno fa e devo dire che la qualità della vita mi è migliorata in quanto non sono più rimasto bloccato. Il problema è che non mi è mai scomparso il dolore cronico alla schiena e alle gambe, più precisamente un dolore localizzato tra polpacci e caviglie che a volte si estende sotto la pianta dei piedi. Il mio medico curante mi ha consigliato un reumatologo il quale mi ha prescritto una RM di controllo. Il referto parla di "ernia contenuta a livello l5s1". Poi il reumatologo ha però ritrattato asserendo che i dolori alle gambe non dipendono dall''ernia. Mi ha quindi consigliato di fare una elettromiografia.

Son tornato quindi dal neurochirurgo che mi ha operato, il quale afferma che quella che si vede non è un''ernia, ma un esito cicatriziale dovuto al disco che si riforma e viene intrappolato in una capsula, che il dolore alla schiena è dovuto ad una artrosi (di cui però il reumatologo consultando RX e RM non trova tracce) mentre il dolore alle gambe che provo non ha senso. mi ha detto che devo fare attività fisica come nuoto e corsa, nonostante non riesca a portarla a termine in quanto i dolori si acutizzano.

Purtroppo con queste ultime visite ed esami ho terminato le mie disponibilità, essendo disoccupato, e non riesco a trovare pace. Sto assumendo deltacortene da 25 mg con la speranza di annullare i dolori.

Mi chiedo se è vero che quella che è definita "ernia contenuta" (non ho studiato greco ma mi sembra un assurdo concettuale considerando l''etimologia della parola) possa essere un esito cicatriziale come afferma il mio neurochirurgo? Io speravo (vanamente) di potermi operare una seconda volta visto che in passato ho provato di tutto (farmaci, integratori, plantari, nuoto, fisioterapia e via dicendo) senza ottenere risultati. Considerando che non posso più consultare medici, come mi posso orientare? Se il deltacortene non dovesse fare effetto, potrei abbinarlo/sostituirlo con altro)? Esistono farmaci che posso prendere a vita per alleviare il dolore?

Ps Ho 36 anni, 185 cm di altezza e 83 kg di peso corporeo

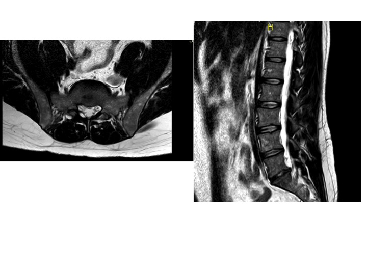
Allego immagine di RM

Grazie mille per l'attenzione


Allegati:
Commento file: Questa è una delle immagini di RM, spero possa rendere idea
l5s1.jpg
[ 72.67 KiB | Osservato 2032 volte ]
 
1 messaggio
Rispondi all’argomento


Visualizza ultimi messaggi:  Ordina per  











NOTIZIE PER LA SALUTE

ERNIA MISTA

L'ernia mista, è caratterizzata da entrambe le forme di ernia da scivolamento e ernia da arro...

ERNIA DA SCIVOLAMENTO

L'ernia da scivolamento è la più frequente. La giunzione gastroesofagea viene spinta v...

Ernia al disco: come interviene il posturologo? Ernia al disco: come interviene il posturologo?

L’ernia al disco è un disturbo molto diffuso che non solo causa dolori acuti a chi ne soffre ma, a l...

Abbasso le infradito

Continua pure a portare i tuoi tacchi alti preferiti: sono meglio delle infradito rasoterra. Dalla t...



TROVA LO SPECIALISTA



ABCsalute S.r.l. ora axélero S.p.A. Copyright 2009 - 2026 ©Tutti i diritti riservati - C.F./Partita IVA IT 07731860966
Sede Legale: via Cartesio, 2 20124 Milano - Cap. Soc. € 68.000,00 i.v - R.E.A. Milano n. 1978319 - N.Telefono +39 02 83623320 - info@axelero.it

Aggiornato al 20/03/2017 - Il sito si finanzia con gli abbonamenti dei medici inserzionisti e non riceve finanziamenti dalla pubblicità o dalla visualizzazione di contenuti commerciali.
Il contenuto editoriale del sito non è influenzato dalle fonti di finanziamento.