Guarda gli argomenti della categoria:  

Autore Messaggio
Pierluca64
Utente di ABCsalute.it
Messaggi: 1
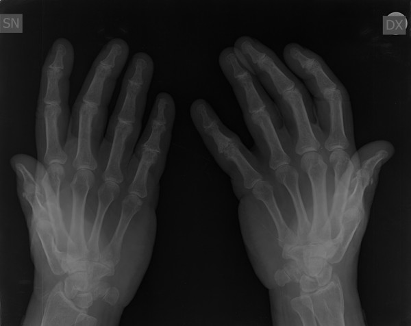
Mi piacerebbe avere un ulteriore parere sulla radiografia alle mani che allego anche per una eventuale cura da seguire. Grazie!!


Allegati:
0006B312.jpg
[ 24.9 KiB | Osservato 1601 volte ]
0006B311.jpg
[ 27.61 KiB | Osservato 1601 volte ]
0006B310.jpg
[ 32.51 KiB | Osservato 1601 volte ]
 
GRF001
Esperto di ABCsalute.it
Avatar utente
Messaggi: 144
Non ha senso un parere del reumatologo quando esiste un referto del radiologo. Il problema potrebbe nascere se il quadro clinico e/o di laboratorio fossero in disaccordo con i dati radiologici. E' solo dal confronto dei 3 elementi (clinico in primis, poi radiologico e di laboratorio) che si può azzardare una diagnosi e quindi impostare un trattamento. Le macchine finora non sostituiscono del tutto il medico.

_________________
Prof Dr Mario Carrabba
    20143 Milano
    Via Fumagalli 9
    Tel.0258105960
    carrabba.mario@alice.it
http://www.reumatologiacarrabba.abcsalute.it
 
2 messaggi
Rispondi all’argomento


Visualizza ultimi messaggi:  Ordina per  





ESAMI O PRESTAZIONI MEDICHE CORRELATE

Artrocentesi

L'artrocentesi è il prelievo di liquido e fluidi in eccesso presenti vicino ad una articolazione per eliminare, così facendo, la causa del dolore e delle difficoltà motorie. In alcuni casi, si ricorre...







NOTIZIE PER LA SALUTE

La nuova mano bionica fa ritrovare il tatto oltre al movimento La nuova mano bionica fa ritrovare il tatto oltre al movimento

Entro il 2013 un ventenne romano avrà l’onore di sperimentare la prima mano bionica che restituisce ...

Analisi via mail

Le prime a partire sono state la Lombardia e l’Emilia Romagna, pronte a inviare on line i refe...

Ortopedia: dalla chirurgia della mano a quella del rachide Ortopedia: dalla chirurgia della mano a quella del rachide

L'ortopedia è la disciplina chirurgica che tratta le affezioni dell'apparato locomotore. &nb...

Perché scrivere a mano aiuta lo sviluppo cerebrale Perché scrivere a mano aiuta lo sviluppo cerebrale

Nelle nostre vite le tastiere di computer e smartphone hanno preso il posto di carta e penna, eppure...



TROVA LO SPECIALISTA



ABCsalute S.r.l. ora axélero S.p.A. Copyright 2009 - 2026 ©Tutti i diritti riservati - C.F./Partita IVA IT 07731860966
Sede Legale: via Cartesio, 2 20124 Milano - Cap. Soc. € 68.000,00 i.v - R.E.A. Milano n. 1978319 - N.Telefono +39 02 83623320 - info@axelero.it

Aggiornato al 20/03/2017 - Il sito si finanzia con gli abbonamenti dei medici inserzionisti e non riceve finanziamenti dalla pubblicità o dalla visualizzazione di contenuti commerciali.
Il contenuto editoriale del sito non è influenzato dalle fonti di finanziamento.