Guarda gli argomenti della categoria:  

Autore Messaggio
ivapopov@abv.bg
Utente di ABCsalute.it
Messaggi: 3
Gentili Dottori,
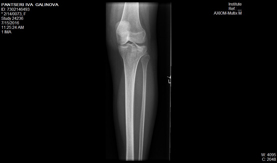
a seguito di un incidente avvenuto quattro mesi fa sono stata operata al piatto tibiale con impianto di osso sintetico e l'applicazione di osteosintesi con 6 viti. Poiche' durante l'incidente mi trovavo all'estero, l'intervento e' stato eseguito a Sofia. Adesso, dopo quattro mesi inizio a camminare ma chiedo un parere, allegando il file conuna radiografia prima dell'intervento e una fatta due giorni fa. A vostro parere era necessario un intervento simile e se si, in base all'ultima lastra vi sembra che sia tutto a posto?
Grazie per una Vostra risposta
Con rispetto
Iva Panzeri


Allegati:
Panzeri_11.11.16.jpg
[ 283.74 KiB | Osservato 452 volte ]
15_07_16.jpg
[ 53.87 KiB | Osservato 452 volte ]
 
1 messaggio
Rispondi all’argomento


Visualizza ultimi messaggi:  Ordina per  





ESAMI O PRESTAZIONI MEDICHE CORRELATE

Baropodometria

L'esame baropodometrico serve a misurare la pressione dei piedi su una superficie e permette di rilevare anomalie muscolo-scheletriche, odontoiatriche e ortopediche, ed è usato anche per valutazioni m...







NOTIZIE PER LA SALUTE

Il piattismo può essere favorito dalla retrazione del tendine d’Achille

La terza delle tre tipologie di piede piatto, con i relativi 4 sottotipi, è quella che dipend...

Eziologia del piede piatto, ovvero lo studio della sua causa

Eziologia del piede piatto. In generale per eziologia si intende lo studio delle cause che determina...

Le malformazioni di astragalo e scafoide sono tra le cause del piede piatto Le malformazioni di astragalo e scafoide sono tra le cause del piede piatto

La prima delle tre tipologie di piede piatto, con i relativi 4 sottotipi, è quella che dipend...

L’avampiede varo accresce il lavoro del muscolo tibiale anteriore e posteriore L’avampiede varo accresce il lavoro del muscolo tibiale anteriore e posteriore

Le deformazioni dell’avampiede. Per procedere a identificare le eventuali deformazioni dell&rs...



TROVA LO SPECIALISTA

Casa di Cura San Michele

La Casa di Cura San Michele ha come caratteri distintivi la competenza professio...

Dr Giuseppe Fabrizio Morabito

VETRINA IN ALLESTIMENTO...



ABCsalute S.r.l. ora axélero S.p.A. Copyright 2009 - 2026 ©Tutti i diritti riservati - C.F./Partita IVA IT 07731860966
Sede Legale: via Cartesio, 2 20124 Milano - Cap. Soc. € 68.000,00 i.v - R.E.A. Milano n. 1978319 - N.Telefono +39 02 83623320 - info@axelero.it

Aggiornato al 20/03/2017 - Il sito si finanzia con gli abbonamenti dei medici inserzionisti e non riceve finanziamenti dalla pubblicità o dalla visualizzazione di contenuti commerciali.
Il contenuto editoriale del sito non è influenzato dalle fonti di finanziamento.