Guarda gli argomenti della categoria:  

Autore Messaggio
Rosibecciu
Utente di ABCsalute.it
Messaggi: 1
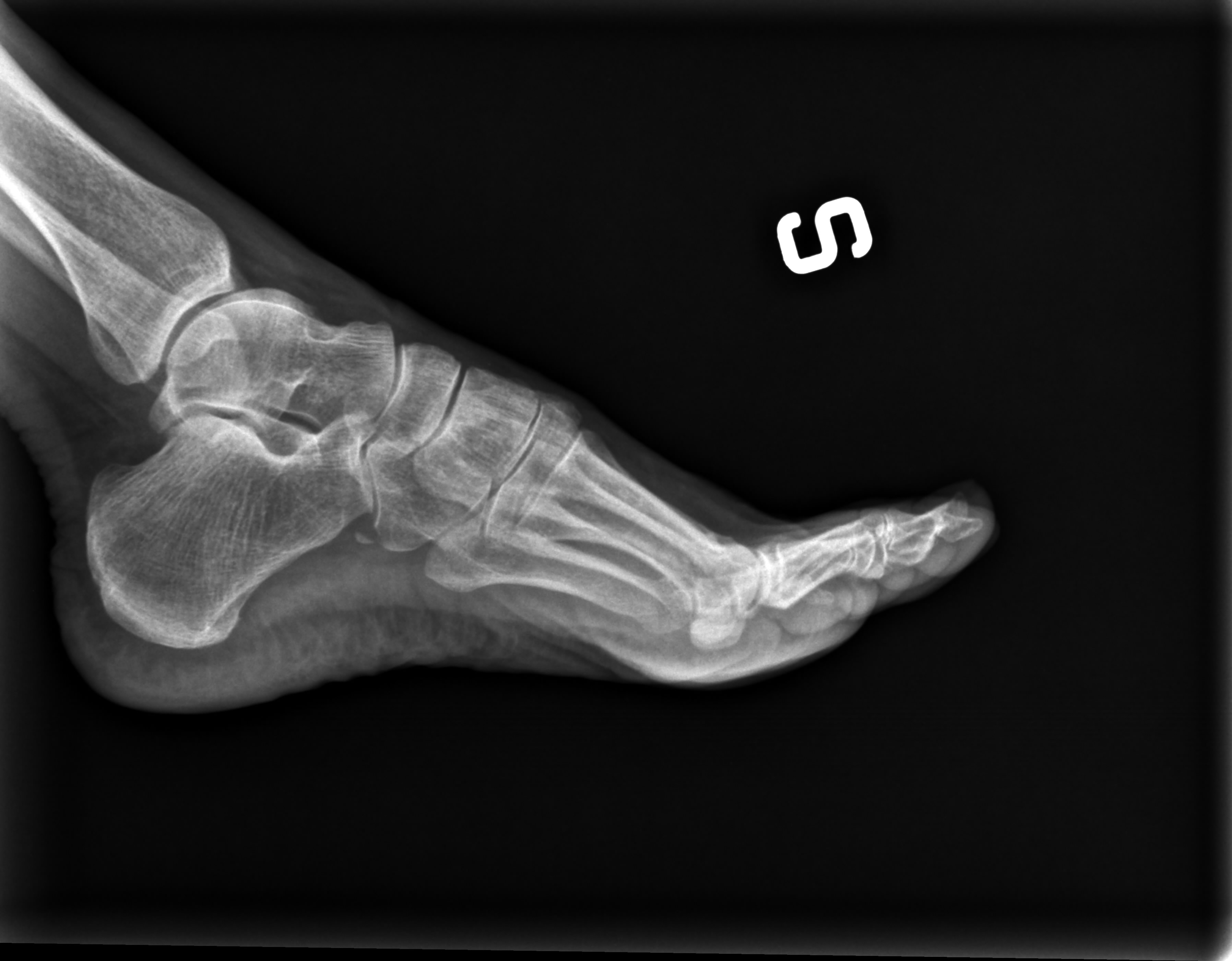
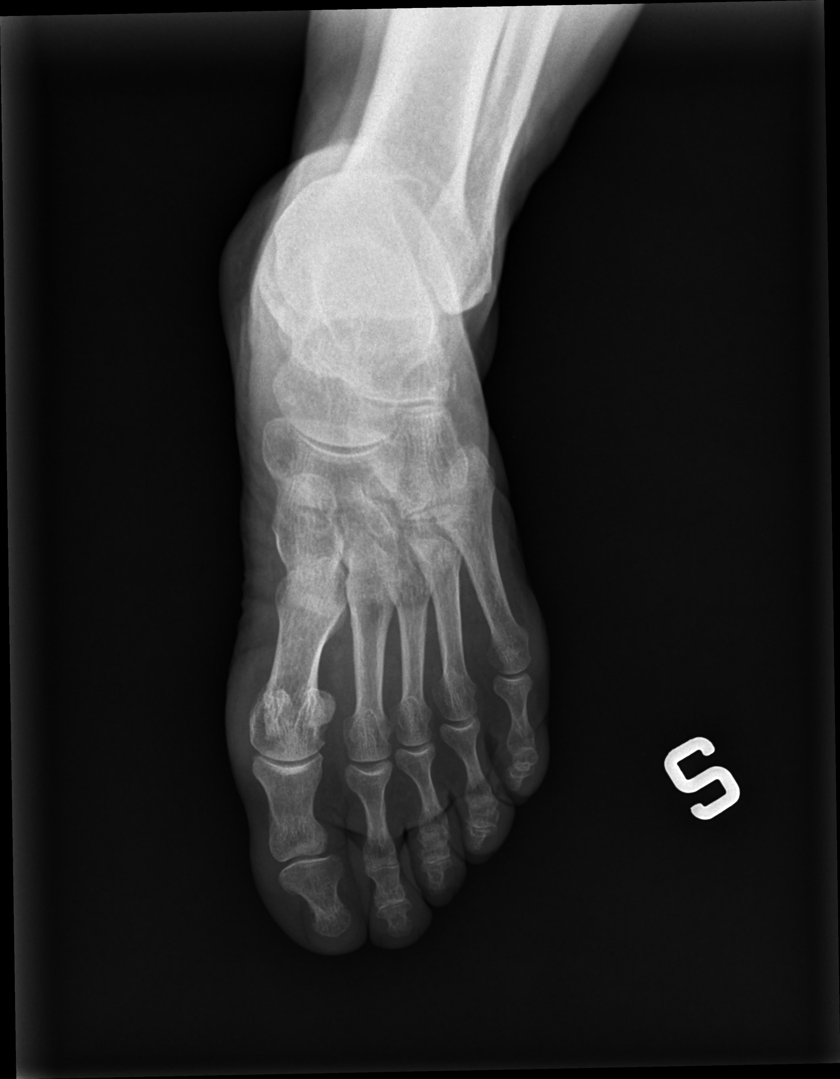
Buona sera vorrei una consultazione delle lastre che allego
per sapere se ho rotture ossee al piede .Saluti Rosi


Allegati:
2_0885653618r.aup.jpg
[ 426.55 KiB | Osservato 596 volte ]
2_0885679618r.aup.jpg
[ 377.62 KiB | Osservato 596 volte ]
 
1 messaggio
Rispondi all’argomento


Visualizza ultimi messaggi:  Ordina per  





ESAMI O PRESTAZIONI MEDICHE CORRELATE

Baropodometria

L'esame baropodometrico serve a misurare la pressione dei piedi su una superficie e permette di rilevare anomalie muscolo-scheletriche, odontoiatriche e ortopediche, ed è usato anche per valutazioni m...







NOTIZIE PER LA SALUTE

Alopecia

L'alopecia è l'assenza di capelli dovuta al mancato sviluppo del bulbo pilifero sul cuoio capelluto....

Eziologia del piede piatto, ovvero lo studio della sua causa

Eziologia del piede piatto. In generale per eziologia si intende lo studio delle cause che determina...

Caso clinico 3 - Paziente piede diabetico  Caso clinico 3 - Paziente piede diabetico

ATTENZIONE: L'articolo presenta immagini che possono impressionare le persone sensibili e i minori.&...

Chirurgia riabilitativa del piede paralitico

Fondamentale innanzitutto restituire al piede la stabilità necessaria per eseguire la fisiote...



TROVA LO SPECIALISTA

Dr Giuseppe Fabrizio Morabito

VETRINA IN ALLESTIMENTO...

Casa di Cura San Michele

La Casa di Cura San Michele ha come caratteri distintivi la competenza professio...



ABCsalute S.r.l. ora axélero S.p.A. Copyright 2009 - 2025 ©Tutti i diritti riservati - C.F./Partita IVA IT 07731860966
Sede Legale: via Cartesio, 2 20124 Milano - Cap. Soc. € 68.000,00 i.v - R.E.A. Milano n. 1978319 - N.Telefono +39 02 83623320 - info@axelero.it

Aggiornato al 20/03/2017 - Il sito si finanzia con gli abbonamenti dei medici inserzionisti e non riceve finanziamenti dalla pubblicità o dalla visualizzazione di contenuti commerciali.
Il contenuto editoriale del sito non è influenzato dalle fonti di finanziamento.