Guarda gli argomenti della categoria:  

Autore Messaggio
Desy
Utente di ABCsalute.it
Messaggi: 3
Salve a tutti, vorrei se possibile delle informazioni per quanto riguarda la riuscita di una devitalizzazione di un molare con radici curve. Ho avuto una carie che mi è stata otturata con del ketac e inizialmente faceva molto male quando masticavo, circa 2 mesi fa. Poi il dolore è andato via ma il dente era molto sensibile a bevande fredde o calde e dava anche fastidio, non dolore, alla masticazione. Il dentista mi aveva già detto che se il dolore persisteva avrei dovuto fare una devitalizzazione. Adesso circa una settimana fa ho avuto un dolore molto forte per circa 4 giorni, probabilmente dovuto ad una infiammazione. Il dente non fa più male come prima ma non posso usarlo per masticare perché altrimenti ricomnincerebbe a far male. Sono andata dal dentista per la radiografia per vedere cosa c'era che non andava e mi ha detto che devo fare la devitalizzazione ma che il mio dente ha le radici curve. Lui non era sicurissimo, e di conseguenza io non lo sono per niente. Vorrei sapere da qualche esperto se è possibile devitalizzare denti con radici curve e se la percentuale di riuscita è alta o bassa. Grazie a tutti per le risposte che mi darete.
 
Dr Maurizio Valerio
TL231
Medico di ABCsalute.it
Avatar utente
Messaggi: 24
Carissimo utente con i nuovi sistemi endodontici reciprocanti non vi sono problemi particolari in caso di radici anche particolarmente curve o ad S . Conta inoltre L' esperienza e la manualità dell' operatore . Comunque no è' saggio mantenere in bocca un dente come il Suo , in stato pre- pulpitico , sensibile
Anche perché' lo stato di infiammazione cronica del nervo darà' sicuramente origine ad una petiodontite apicale cronica ( granuloma) poi difficilmente curabile e che spesso si trasforma in una cisti radicolare a lenta espansione
Sono perplesso sull' impiego del Ketac come materiale da otturazione definitivo , anche perché' talora può irritare il nervo .
Cordialmente
Dott VALERIO Maurizio MD - DDS ( Torino )

_________________
[b]Dott. Maurizio Valerio[/b] [list][/list] [list]valeriomau@virgilio.it[/list]
 
Desy
Utente di ABCsalute.it
Messaggi: 3
Grazie per la risposta dottore, ma essendo ignorante in materia potrebbe spiegarmi come può avvenire la comparsa del granuloma e che cos'è? E poi il rischio che si presenti non viene eliminato facendo la devitalizzazione del dente?
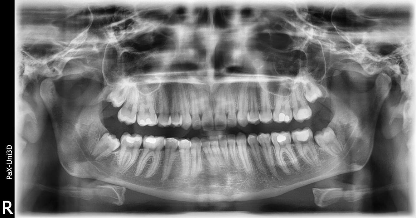
In allegato Il dente in questione è il secondo molare a partire da destra in basso, quello che si vede più riempito.


Allegati:
IMG_2508.JPG
[ 192.23 KiB | Osservato 2654 volte ]
 
Dr Maurizio Valerio
TL231
Medico di ABCsalute.it
Avatar utente
Messaggi: 24
IL " Granuloma " è' un' infezione cronica dell' apice di una radice derivante da svariate cause che comunque hanno determinato tutte la necrosi della polpa dentaria ( nervo ) . Si manifesta nella radiografia dentale come una perdita di sostanza ossea iattorno all' apice della radice interessata . ( zona radio logicamente più scura rispetto al resto del tessuto osseo che diviene francamente nera quando evolve in cisti .
Si le confermo che una corretta devitalizzazione ( meglio chiamarla trattamento endodontico ....) sino all' apice del dente
Elimina ogni problema . L' importante è' che si elimini TUTTA la polpa infetta o infiammata ecco perché nei canali molto curvi
La prognosi ed i risultati talora possono non essere adeguati
Se non condotti da operatori esperti , per la difficoltà' maggiore a
Raggiungere correttamente gli apici radicolari .
Le consiglio di non indugiare ulteriormente e di farsi trattare
Endodonticamente il dente al più presto possibile .
Cordiali Saluti
Dott VALERIO M. MD - DDS

_________________
[b]Dott. Maurizio Valerio[/b] [list][/list] [list]valeriomau@virgilio.it[/list]
 
Desy
Utente di ABCsalute.it
Messaggi: 3
Grazie mille per la risposta dottore, non so se ha visto la radiografia che ho allegato però posso dirle che il trattamento canalare lo farò mercoledì. Grazie per la sua disponibilità.
 
5 messaggi
Rispondi all’argomento


Visualizza ultimi messaggi:  Ordina per  





ESAMI O PRESTAZIONI MEDICHE CORRELATE

Devitalizzazione dentale

Quando il dente è attaccato da una carie profonda o subisce altri traumi, i batteri prolificano in profondità fino a popolare e infiammare la polpa dentale. In questi casi, il dentista procede con la ...







NOTIZIE PER LA SALUTE

Devitalizzazione dentale

Quando il dente è attaccato da una carie profonda o subisce altri traumi, i batteri prolificano in p...

La devitalizzazione del dente non ne altera le funzionalità La devitalizzazione del dente non ne altera le funzionalità

La devitalizzazione di un dente rientra nell’endodonzia, una branca dell’odontoiatria ch...

Devitalizzazione, un intervento per salvare il dente Devitalizzazione, un intervento per salvare il dente

Carie, piorrea, pulpite. Sono tante le patologie che possono causare il mal di denti e, soprattutto,...

Sedazione cosciente per un’operazione odontoiatrica senza dolore Sedazione cosciente per un’operazione odontoiatrica senza dolore

Tra tutti i medici, l’odontoiatra è senza dubbio quello più temuto da grandi e piccini perché, se ci...



TROVA LO SPECIALISTA

Studio Medico Dr Patrizia Tesei

L’Odontoiatra di Pavia  Dr.ssa Tesei collabora con il Dr Fr...

Centro Atlas - Dr Rosanna Di Giosaffatte

Centro di Medicina Funzionale a Pescara. Il Centro Atlas è diretto dalla ...



ABCsalute S.r.l. ora axélero S.p.A. Copyright 2009 - 2025 ©Tutti i diritti riservati - C.F./Partita IVA IT 07731860966
Sede Legale: via Cartesio, 2 20124 Milano - Cap. Soc. € 68.000,00 i.v - R.E.A. Milano n. 1978319 - N.Telefono +39 02 83623320 - info@axelero.it

Aggiornato al 20/03/2017 - Il sito si finanzia con gli abbonamenti dei medici inserzionisti e non riceve finanziamenti dalla pubblicità o dalla visualizzazione di contenuti commerciali.
Il contenuto editoriale del sito non è influenzato dalle fonti di finanziamento.