Guarda gli argomenti della categoria:  

Autore Messaggio
dariomusico
Utente di ABCsalute.it
Messaggi: 1
Salve.
Avrei gentilmente bisogno di un consulto.
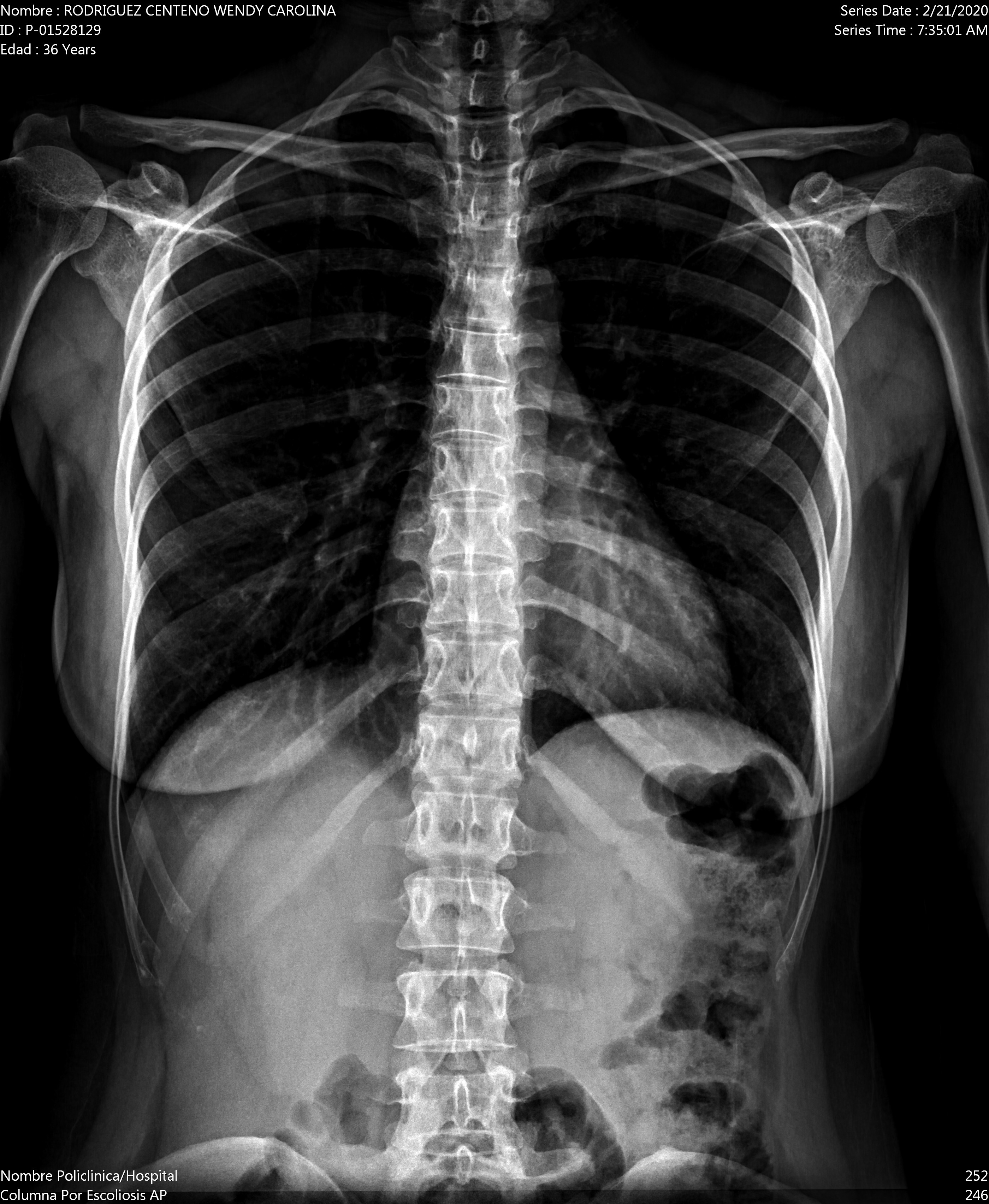
Ho un forte dolore al bacino. Il dolore è più acuto quando devo alzarmi da una sedia e non posso camminare se non lentamente per il forte dolore.
Allego i raggi x appena fatti.
Grazie!


Allegati:
A00000002.JPG
[ 307.42 KiB | Osservato 993 volte ]
A00000001.JPG
[ 1.54 MiB | Osservato 993 volte ]
A00000000.JPG
[ 1.32 MiB | Osservato 993 volte ]
 
ale.biazzo
Utente di ABCsalute.it
Messaggi: 11
Buongiorno signora. Alle rx non si vede nulla di particolare. Dovrebbe sentire uno specialista quando questa crisi sanitaria sarà risolta. Cordiali saluti
Dr Biazzo Alessio
http://Www.artrosiginocchioanca.it
 
2 messaggi
Rispondi all’argomento


Visualizza ultimi messaggi:  Ordina per  





ESAMI O PRESTAZIONI MEDICHE CORRELATE

Baropodometria

L'esame baropodometrico serve a misurare la pressione dei piedi su una superficie e permette di rilevare anomalie muscolo-scheletriche, odontoiatriche e ortopediche, ed è usato anche per valutazioni m...







NOTIZIE PER LA SALUTE

Se ti muovi bene, ti senti meglio

Una postura scorretta, secondo un recente studio pubblicato sul Journal of Experimental Social Psych...

COXARTROSI

Si parla di coxartrosi quando le articolazioni più frequentemente colpite interessano il baci...

Nevriti

Infiammazioni che riguardano i distretti nervosi, sia periferici che cranici. Se colpiscono un solo ...

Il dolore si vede nel nostro cervello. La nuova scoperta della scienza Il dolore si vede nel nostro cervello. La nuova scoperta della scienza

Ci si lamenta per un dolore atroce, una sofferenza indescrivibile o un male lancinante, tutti pareri...



TROVA LO SPECIALISTA

Dr Giuseppe Fabrizio Morabito

VETRINA IN ALLESTIMENTO...

Casa di Cura San Michele

La Casa di Cura San Michele ha come caratteri distintivi la competenza professio...



ABCsalute S.r.l. ora axélero S.p.A. Copyright 2009 - 2026 ©Tutti i diritti riservati - C.F./Partita IVA IT 07731860966
Sede Legale: via Cartesio, 2 20124 Milano - Cap. Soc. € 68.000,00 i.v - R.E.A. Milano n. 1978319 - N.Telefono +39 02 83623320 - info@axelero.it

Aggiornato al 20/03/2017 - Il sito si finanzia con gli abbonamenti dei medici inserzionisti e non riceve finanziamenti dalla pubblicità o dalla visualizzazione di contenuti commerciali.
Il contenuto editoriale del sito non è influenzato dalle fonti di finanziamento.