Guarda gli argomenti della categoria:  

Autore Messaggio
marco9880
Utente di ABCsalute.it
Messaggi: 1
Salve,
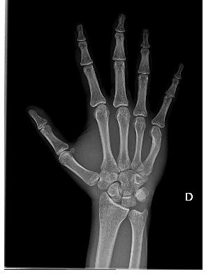
circa 4 mesi fa in un momento di rabbia ho tirato un pugno fortissimo al muro, ho avvertito molto dolore alla mano e nella zona sotto il palmo in prossimità del 5 metacarpo si era annerita, ma riuscendo comunque a muovere la mano non sono andato al pronto soccorso. Di recente ho fatto una radiografia che dice:
Quesito diagnostico: trauma contusivo circa 4 mesi fa, primo accertamento in persistenza di sintomatologia dolorosa v metacarpo a dx.
Non disponibili analoghi precedenti utili per confronto.
Deformazione a concavità destra del 5 metacarpo, a fulcro diafisario distale, di difficile tipizzazione, anche sulla scorta di questo solo esame : possibile esito riparato fratturativo e/o costitutivo, dato da correlare con la clinica.
Nei radiogrammi eseguiti non evidenza di franche alterazioni a focolaio in atto.
Rizoartrosi.
Conservati i rapporti articolari.
Osteopenia, verosimilmente da disuso.
Sesamoide metacarpali al primo dito
Note artrosiche.
mi saprebbe dare qualche spiegazione, ho 18 anni e non sono altissimo, questo può provocarmi un blocco della crescita o posso ancora prendere qualche cm?


Allegati:
frat.JPG [21.89 KiB]
Mai scaricato
 
1 messaggio
Rispondi all’argomento


Visualizza ultimi messaggi:  Ordina per  





ESAMI O PRESTAZIONI MEDICHE CORRELATE

Baropodometria

L'esame baropodometrico serve a misurare la pressione dei piedi su una superficie e permette di rilevare anomalie muscolo-scheletriche, odontoiatriche e ortopediche, ed è usato anche per valutazioni m...







NOTIZIE PER LA SALUTE

ARTROSI METACARPO FALANGEA

Si parla di artrosi metacarpo falangea quando le articolazioni più frequentemente colpite int...

Frattura del polso: sintomi, cause e cura

Cosa si intende per frattura del polso?Per frattura dell'articolazione del polso si intende una lesi...

Osteoporosi: 3 sintomi e qualche consiglio di prevenzione Osteoporosi: 3 sintomi e qualche consiglio di prevenzione

L’osteoporosi è una malattia cronica legata al fisiologico processo di invecchiamento. È causata dal...

Frattura del femore Frattura del femore

Il femore è l’osso più lungo e voluminoso del corpo umano, collega l’anca al ginocchio e supporta il...



TROVA LO SPECIALISTA

Casa di Cura San Michele

La Casa di Cura San Michele ha come caratteri distintivi la competenza professio...

Dr Giuseppe Fabrizio Morabito

VETRINA IN ALLESTIMENTO...



ABCsalute S.r.l. ora axélero S.p.A. Copyright 2009 - 2025 ©Tutti i diritti riservati - C.F./Partita IVA IT 07731860966
Sede Legale: via Cartesio, 2 20124 Milano - Cap. Soc. € 68.000,00 i.v - R.E.A. Milano n. 1978319 - N.Telefono +39 02 83623320 - info@axelero.it

Aggiornato al 20/03/2017 - Il sito si finanzia con gli abbonamenti dei medici inserzionisti e non riceve finanziamenti dalla pubblicità o dalla visualizzazione di contenuti commerciali.
Il contenuto editoriale del sito non è influenzato dalle fonti di finanziamento.