Guarda gli argomenti della categoria:  

Autore Messaggio
matty0002
Utente di ABCsalute.it
Messaggi: 1
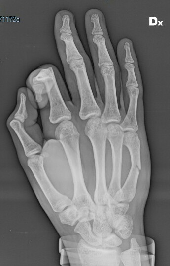
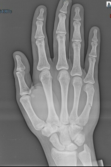
Salve sono un ragazzo di 17 anni che ha subito una forte contusione provocando una frattura composta del V metacarpo della mano dx. Recandomi in pronto soccorso mi hanno fatto un rx e ingessato bloccando mignolo e anulare per 30 giorni.. siccome sono già 8 giorni che porto il gesso ( premetto che mi sono recato in ps dopo 7 giorni, pensando fosse una contusione) la mia domanda è, guardando il tipo di frattura, siccome non sopporto il gesso per il caldo è per i fastidi che provoca.... Posso già toglierlo? La frattura di consoliderà lo stesso? Cosa potrebbe succedere?


Allegati:
Commento file: Rx dopo 7 giorni
IMG_20170809_115745.jpg
[ 49.15 KiB | Osservato 1102 volte ]
IMG_20170809_115815.jpg
[ 41.21 KiB | Osservato 1102 volte ]
IMG_20170809_115837.jpg
[ 34.48 KiB | Osservato 1102 volte ]
 
1 messaggio
Rispondi all’argomento


Visualizza ultimi messaggi:  Ordina per  





ESAMI O PRESTAZIONI MEDICHE CORRELATE

Baropodometria

L'esame baropodometrico serve a misurare la pressione dei piedi su una superficie e permette di rilevare anomalie muscolo-scheletriche, odontoiatriche e ortopediche, ed è usato anche per valutazioni m...







NOTIZIE PER LA SALUTE

ARTROSI METACARPO FALANGEA

Si parla di artrosi metacarpo falangea quando le articolazioni più frequentemente colpite int...

Frattura del polso: sintomi, cause e cura

Cosa si intende per frattura del polso?Per frattura dell'articolazione del polso si intende una lesi...

Frattura del femore Frattura del femore

Il femore è l’osso più lungo e voluminoso del corpo umano, collega l’anca al ginocchio e supporta il...

Osteoporosi: 3 sintomi e qualche consiglio di prevenzione Osteoporosi: 3 sintomi e qualche consiglio di prevenzione

L’osteoporosi è una malattia cronica legata al fisiologico processo di invecchiamento. È causata dal...



TROVA LO SPECIALISTA

Dr Giuseppe Fabrizio Morabito

VETRINA IN ALLESTIMENTO...

Casa di Cura San Michele

La Casa di Cura San Michele ha come caratteri distintivi la competenza professio...



ABCsalute S.r.l. ora axélero S.p.A. Copyright 2009 - 2025 ©Tutti i diritti riservati - C.F./Partita IVA IT 07731860966
Sede Legale: via Cartesio, 2 20124 Milano - Cap. Soc. € 68.000,00 i.v - R.E.A. Milano n. 1978319 - N.Telefono +39 02 83623320 - info@axelero.it

Aggiornato al 20/03/2017 - Il sito si finanzia con gli abbonamenti dei medici inserzionisti e non riceve finanziamenti dalla pubblicità o dalla visualizzazione di contenuti commerciali.
Il contenuto editoriale del sito non è influenzato dalle fonti di finanziamento.