Guarda gli argomenti della categoria:  

Autore Messaggio
checco381
Utente di ABCsalute.it
Messaggi: 1
Ciao a tutti , Io sono Francesco ed ho 28 anni . Cerco di riassumere brevemente quello che mi succede :

1/10/2016 - Incidente in moto .
15/11/2016 - A causa del dolore eseguo visita ortopedica e viene scoperta frattura radio sx , precisamente al terzo medio , esattamente nel mezzo del braccio ( in ospedale non era stata trovata la frattura durante il ricovero durato una settimana ) dunque scopro di avere la frattura dopo 45 giorni circa dall'incidente .
1/12/2016 - Viene effetuato intervento chirurgico , riduzione e placca a 6 viti presso una clinica , non in ospedale visto la brutta esperienza , ma in clinica e viene ingessato il braccio .
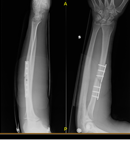
5/1/2017 - Sono passati 40 giorni dall'intervento , eseguo rx e visita , la frattura non è ancora saldata , ( allego in ordine di esecuzione l'immagine dell'rx , mi viene rimosso il gesso e prescritto un tutore precisamente " Polfit 21 " ( il tutore è lungo complessivamente 26 cm , non copre palesemente la zona fratturata ,a me è sembrato corto , non adeguato , ma il medico mi dice di stare tranquillo .
Per circa 14,16 mesi dopo l'intervento eseguo quasi ogni mese visita ed rx presso la clinica . La frattura non voleva guarire .
10/2/2018 - é passato più di un anno e la frattura non era ancora guarita , dunque eseguo visita privata in ospedale fuori regione e mi viene detto che dovevo rioperarmi , che non sarebbe mai guarita la frattura in queste condizioni . diagnosticata pseudoartrosi ( veniva refertata anche nei precedenti raggi fatti in clinica ) e suggerito intervento , innesto osseo da cresta iliaca
4/06/2018 - viene eseguito l' intervento ed ingessato il braccio . Viene rimossa la terza vite , quella che nella prima radiografia è molto vicina alla frattura ,anzi quasi dentro la frattura . Come potete notare nell rx di ottobre difatti la vite manca.
10/01/2019 - Ad oggi sono ancora ingesato e la frattura mooolto lentamente sembra guarire . considerando che sono passati già quasi 8 mesi dall'intervento ( sono ingessato da 8 mesi ) ed eseguo visita ed rx ogni mese circa , credo che dovrò rioperarmi .
Le domande sono :
1 Cosa ne pensate ?
2 Considerando che la terza vite ( a partire da sopra per intenderci ) che si vede nella prima rx è stata rimossa nell'ultimo intervento , allego anche l'rx fatta dopo quest'ultimo intervento, secondo voi potrebbe essere a causa di quella vite messa malissimo , quasi nella frattura in pratica , il mancato consolidamento del primo intervento ?
3 O la prescrizione del tutore sbagliato? che a quanto ho capito si prescrive per un frattura del polso , non per un fratture del radio al terzo medio ( la frattura è a metà braccio per intenderci)
Grazie a tutti e scusate il disturbo , sono molto preoccupato dura da più due anni questa brutta storia e non riesco a capire cosa succede . più di qualche medico mi ha detto che : il primo problema è che l'ospedale non ha trovato la fratture dopo un tac total body e durante un ricovero durato una settimana per incidente stradale.
una delle viti che hanno messo nel primo intervento fatto in clinica è messa praticamenet nella frattura e per quello non è guarita con il primo intervento .
Il tutore prescritto è sbagliatissimo si usa nelle fratture del polso non per una frattura del radio al terzo medio .
Considerando che non posso lavorare dall '1/10/2016 , questo è il terzo anno in queste condizioni , la cosa inzia ad infastidirmi e crearmi seri problemi, voglio vederci chiaro . sembra un incubo . mi sento preso in giro e più di qualche medico mi ha segnalato questi errori che vi ho elencato . Spero di avere il vostro parere e confrontarci .
Grazie ancora tutti un abbraccio .


Allegati:
Radiografia 5 gennaio 2017.png.png
[ 179.82 KiB | Osservato 907 volte ]
radiografia 15 ottobre 2018.png
[ 179.21 KiB | Osservato 907 volte ]
 
1 messaggio
Rispondi all’argomento


Visualizza ultimi messaggi:  Ordina per  





ESAMI O PRESTAZIONI MEDICHE CORRELATE

Baropodometria

L'esame baropodometrico serve a misurare la pressione dei piedi su una superficie e permette di rilevare anomalie muscolo-scheletriche, odontoiatriche e ortopediche, ed è usato anche per valutazioni m...







NOTIZIE PER LA SALUTE

Parlare troppo al cellulare fa male al braccio e alle dita Parlare troppo al cellulare fa male al braccio e alle dita

Parlare al cellulare per troppo tempo fa infiammare il nervo ulnare, quello del braccio, provocando...

U.S.A., presentato braccio bionico comandato dal cervello U.S.A., presentato braccio bionico comandato dal cervello

Un sofisticato sistema di reinnervazione muscolare mirata (Tmr) ha consentito a Todd Kuiken, diretto...

Pressione sistolica, indice di malattie cardiovascolari Pressione sistolica, indice di malattie cardiovascolari

Una pressione sistolica (la "massima") diversa a seconda del braccio scelto per la misurazione potre...

Allergia ai pollini: a marzo inizia l’incubo di milioni di italiani Allergia ai pollini: a marzo inizia l’incubo di milioni di italiani

Articolo aggiornato l'1 marzo 2017.   Avete notato che da qualche giorno alle 17 c’è ancora l...



TROVA LO SPECIALISTA

Casa di Cura San Michele

La Casa di Cura San Michele ha come caratteri distintivi la competenza professio...

Dr Giuseppe Fabrizio Morabito

VETRINA IN ALLESTIMENTO...



ABCsalute S.r.l. ora axélero S.p.A. Copyright 2009 - 2026 ©Tutti i diritti riservati - C.F./Partita IVA IT 07731860966
Sede Legale: via Cartesio, 2 20124 Milano - Cap. Soc. € 68.000,00 i.v - R.E.A. Milano n. 1978319 - N.Telefono +39 02 83623320 - info@axelero.it

Aggiornato al 20/03/2017 - Il sito si finanzia con gli abbonamenti dei medici inserzionisti e non riceve finanziamenti dalla pubblicità o dalla visualizzazione di contenuti commerciali.
Il contenuto editoriale del sito non è influenzato dalle fonti di finanziamento.