Guarda gli argomenti della categoria:  

Autore Messaggio
antomax
Utente di ABCsalute.it
Messaggi: 1
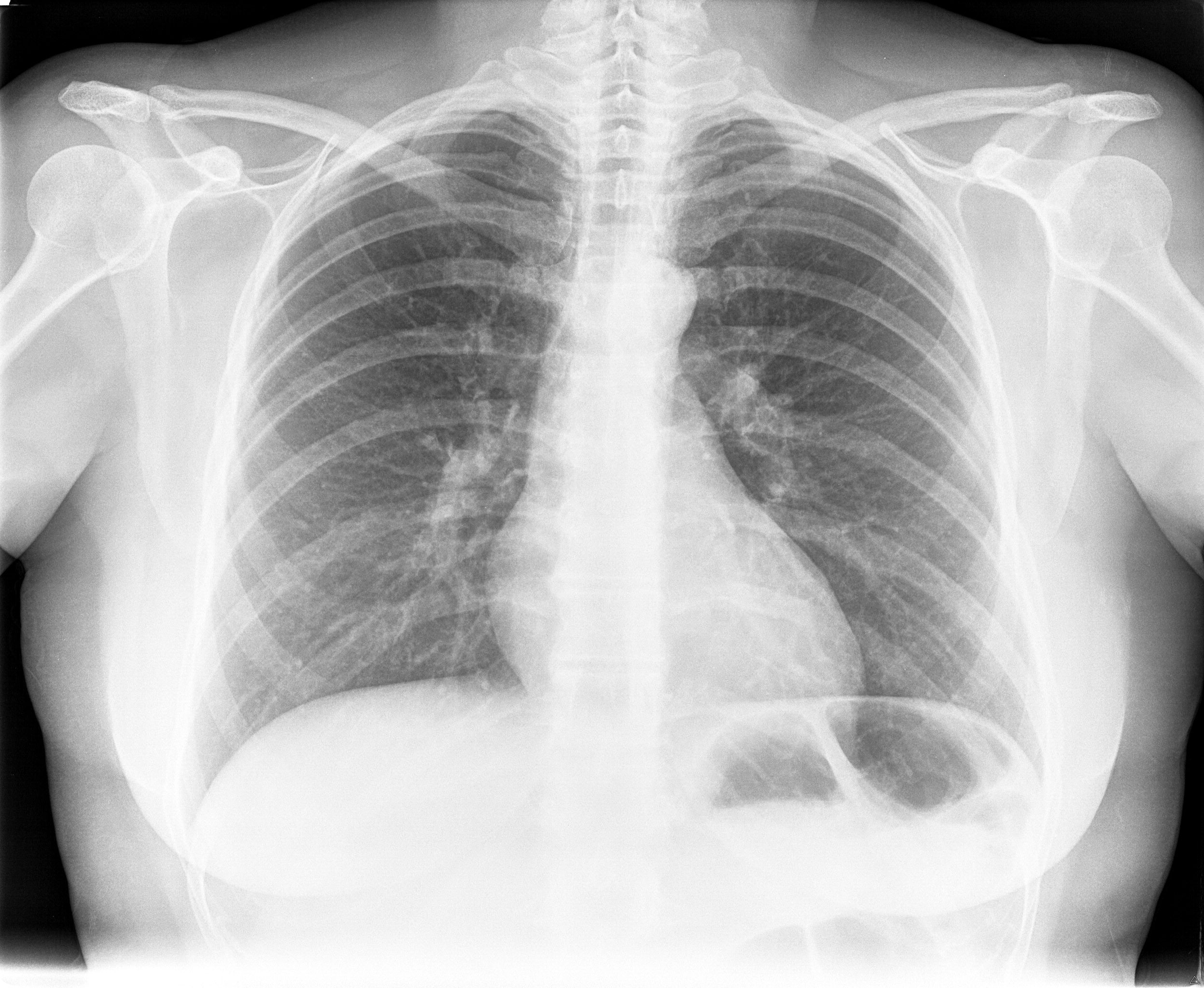
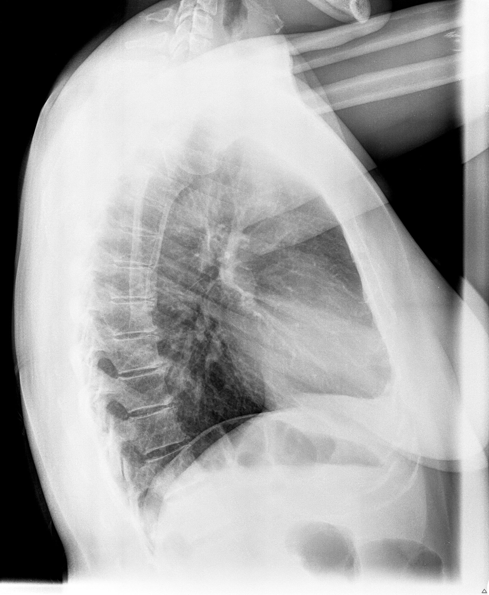
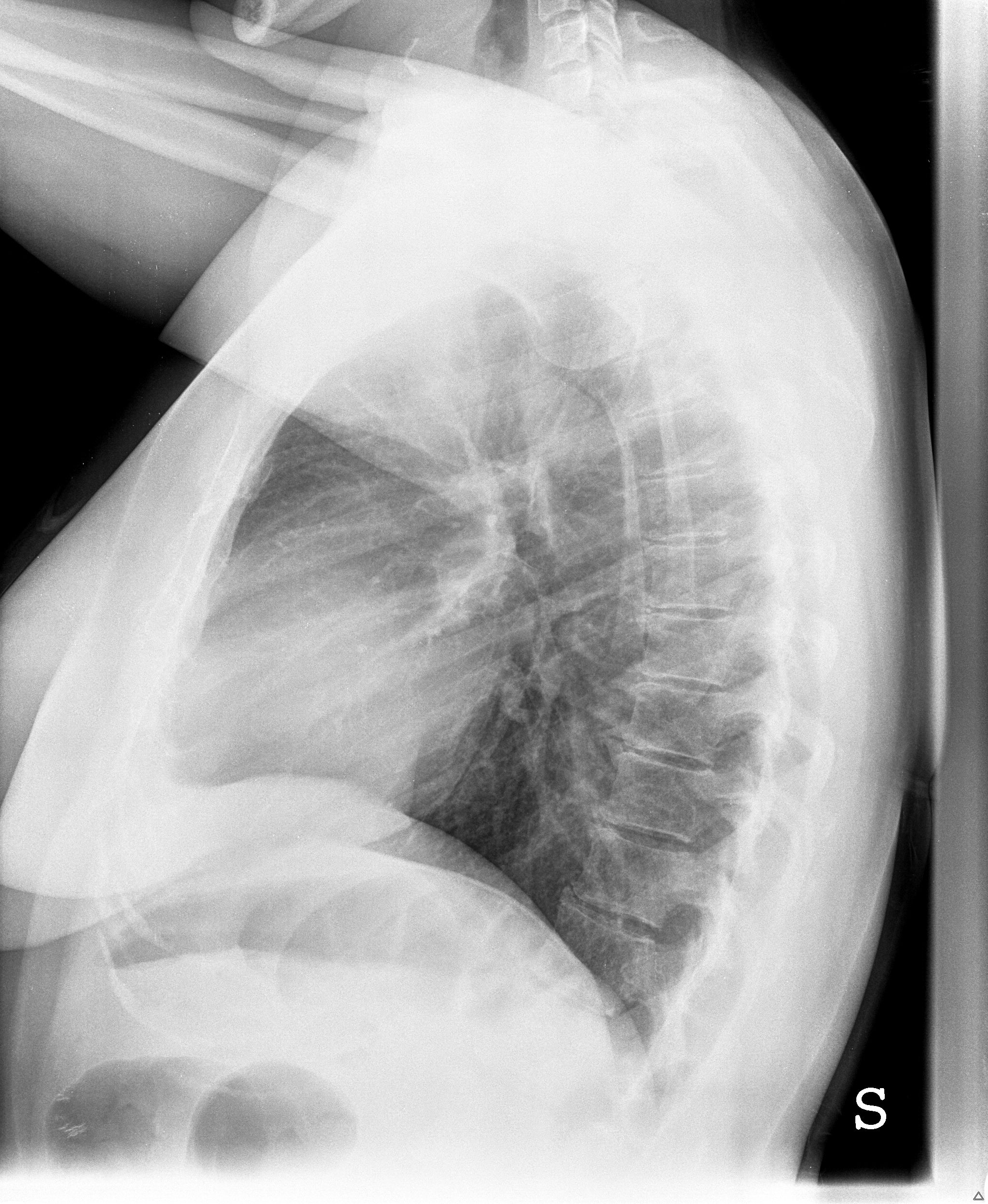
buongiorno dopo tutta una serie di esami effettuati nel corso di quest anno (ecocuore, gastroscopia, ecografia addome... tutti negativi) per capire l origine di questo mio fastidio ieri ho fatto i raggi al torace premetto che sono una fumatrice da 10 sigarette al di con un passato da fumo passivo non indifferente...vorrei capire se effettivamente ho qualcosa per cui preoccuparmi specifico che ho 39 anni


Allegati:
ter.jpg
[ 827.99 KiB | Osservato 4171 volte ]
bis.jpg
[ 817.83 KiB | Osservato 4171 volte ]
00001.jpg
[ 694.3 KiB | Osservato 4171 volte ]
 
1 messaggio
Rispondi all’argomento


Visualizza ultimi messaggi:  Ordina per  





ESAMI O PRESTAZIONI MEDICHE CORRELATE

Visita pneumologica

La visita pneumologica valuta la presenza di anomalie funzionali e patologie acute e croniche dell’apparato respiratorio. Il pneumologo comincia la visita con l’anamnesi del paziente per conoscere le ...

Visita Medicina Interna

L'internista è un medico che ha numerose competenze multidisciplinari tali da consentirgli di valutare patologie complesse e multifattoriali che, normalmente, necessitano dell'intervento di altrettant...







NOTIZIE PER LA SALUTE

Se ti muovi bene, ti senti meglio

Una postura scorretta, secondo un recente studio pubblicato sul Journal of Experimental Social Psych...

EMICRANIA

L'emicrania si manifesta con dolore presente in un unico lato della testa che peggiora con l'attivit...

ANGINA PECTORIS ANGINA PECTORIS

Il termine “angina pectoris” deriva dal latino e sta a significare “dolore al pett...

Con un lato B importante la salute è assicurata

Finalmente hai un paio di ottimi motivi per andar fiera del tuo "lato B" un po' abbondante. Secondo ...



TROVA LO SPECIALISTA



ABCsalute S.r.l. ora axélero S.p.A. Copyright 2009 - 2026 ©Tutti i diritti riservati - C.F./Partita IVA IT 07731860966
Sede Legale: via Cartesio, 2 20124 Milano - Cap. Soc. € 68.000,00 i.v - R.E.A. Milano n. 1978319 - N.Telefono +39 02 83623320 - info@axelero.it

Aggiornato al 20/03/2017 - Il sito si finanzia con gli abbonamenti dei medici inserzionisti e non riceve finanziamenti dalla pubblicità o dalla visualizzazione di contenuti commerciali.
Il contenuto editoriale del sito non è influenzato dalle fonti di finanziamento.