Guarda gli argomenti della categoria:  

Autore Messaggio
Cleopatro
Utente di ABCsalute.it
Messaggi: 1
Buonasera,
Racconto in breve la vicenda:
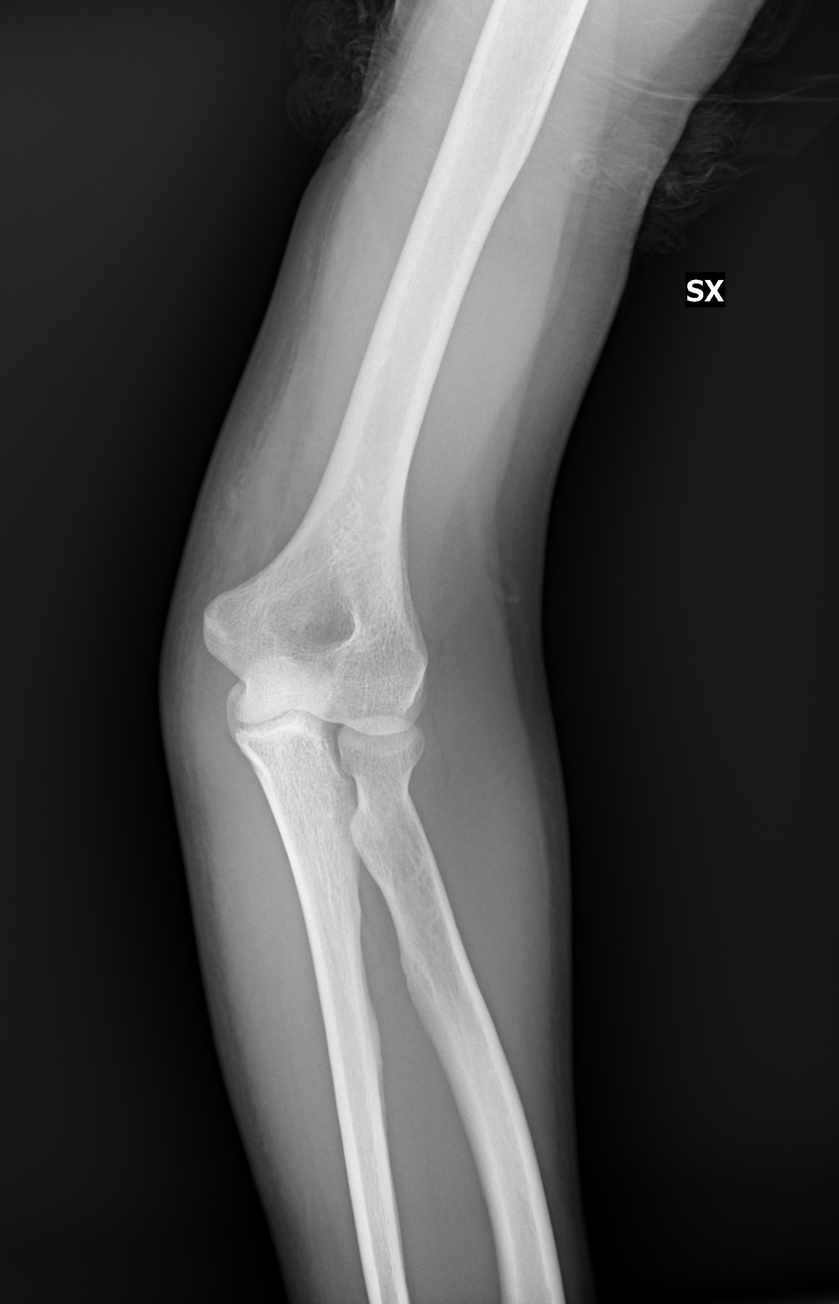
Giorno 16 Gen camminando cado inciampando in un dislivello. Al pronto soccorso fanno Rx al Gomito (due proiezioni), polso e mano Sx . Dopo visita ortopedica la diagnosi risulta: TRAUMA CONTUSIVO ARTO SUP SX.
L’ortopedico mi prescrive Patrol cpr, Dolaut spray e mi raccomanda di cominciare a muovere il braccio per riprendere velocemente la funzionalità essendo un violinista.
Giorno 21 rifaccio i Rx altrove e mi risulta invece: DISTACCO LAMELLARE DEL CAPITELLO RADIALE.
L’ortopedico mi dice di immobilizzare con tutore (anche semplice reggibraccio) per circa 15/20 gg e mi prescrive Dicloreum 150 per 5 gg e Lenidase per 7 gg.
Ho prenotato giorno 8 Feb ulteriore controllo Rx e visita ortopedica (a distanza di 17/18 gg dall’utilizzo del tutore).
Domande (spero non siano tante):
1) E’ possibili capire di che entità è la lesione? Mi potrebbero bastare i 17/18 gg di reggibraccio? (invio in jpg i raggi fatti successivamente).
2) Che tempi di ripresa potrei avere?Quando potrei guidare lo scooter per andare a lavoro?
3) Dovrei fare fisioterapia ?L’ortopedico mi ha detto che non è necessario (ricordo la mia attività professionale di violinista)
4) Mi chiedo anche se è il caso di ingessare il braccio, non vorrei fare involontariamente movimenti sbagliati (da come si è espresso l’ortopedico, sembra una cosa lieve)
5) Ci sono accorgimenti alimentari che mi possono accelerare la guarigione?
6) Chiedo inoltre se, nel bloccaggio con il tutore, la chiusura del braccio sx è sufficiente essere di 90 (o se eventualmente deve essere superiore) e se posso, sempre a braccio chiuso, fare dei piccoli movimenti di rotazione dell’avambraccio?

invio in allegato i raggi effettuati

Grazie


Allegati:
IMG00002.jpg
[ 101.89 KiB | Osservato 976 volte ]
IMG00001.jpg
[ 147.99 KiB | Osservato 976 volte ]
 
1 messaggio
Rispondi all’argomento


Visualizza ultimi messaggi:  Ordina per  





ESAMI O PRESTAZIONI MEDICHE CORRELATE

Baropodometria

L'esame baropodometrico serve a misurare la pressione dei piedi su una superficie e permette di rilevare anomalie muscolo-scheletriche, odontoiatriche e ortopediche, ed è usato anche per valutazioni m...







NOTIZIE PER LA SALUTE

Miopia elevata: lenti inserite nell'occhio dal chirurgo Miopia elevata: lenti inserite nell'occhio dal chirurgo

La miopia è un vizio rifrattivo che fa vedere confusi gli oggetti lontani, limitando la visio...

Il foro della macula retinica è una grave malattia della retina

Il foro della macula retinica è una grave malattia della retina che, anche se è stata ...

Distacco di retina: pregiudica la capacità funzionale

Cos’è la retina. La retina è un tessuto neurosensoriale che riveste la parete po...

Trapianto di cornea: quando la cornea non è più trasparente

Il trapianto di cornea. Il trapianto di cornea, detto anche cheratoplastica perforante, è un ...



TROVA LO SPECIALISTA

Dr Giuseppe Fabrizio Morabito

VETRINA IN ALLESTIMENTO...

Casa di Cura San Michele

La Casa di Cura San Michele ha come caratteri distintivi la competenza professio...



ABCsalute S.r.l. ora axélero S.p.A. Copyright 2009 - 2026 ©Tutti i diritti riservati - C.F./Partita IVA IT 07731860966
Sede Legale: via Cartesio, 2 20124 Milano - Cap. Soc. € 68.000,00 i.v - R.E.A. Milano n. 1978319 - N.Telefono +39 02 83623320 - info@axelero.it

Aggiornato al 20/03/2017 - Il sito si finanzia con gli abbonamenti dei medici inserzionisti e non riceve finanziamenti dalla pubblicità o dalla visualizzazione di contenuti commerciali.
Il contenuto editoriale del sito non è influenzato dalle fonti di finanziamento.