Guarda gli argomenti della categoria:  

Autore Messaggio
Wilstar
Utente di ABCsalute.it
Messaggi: 1
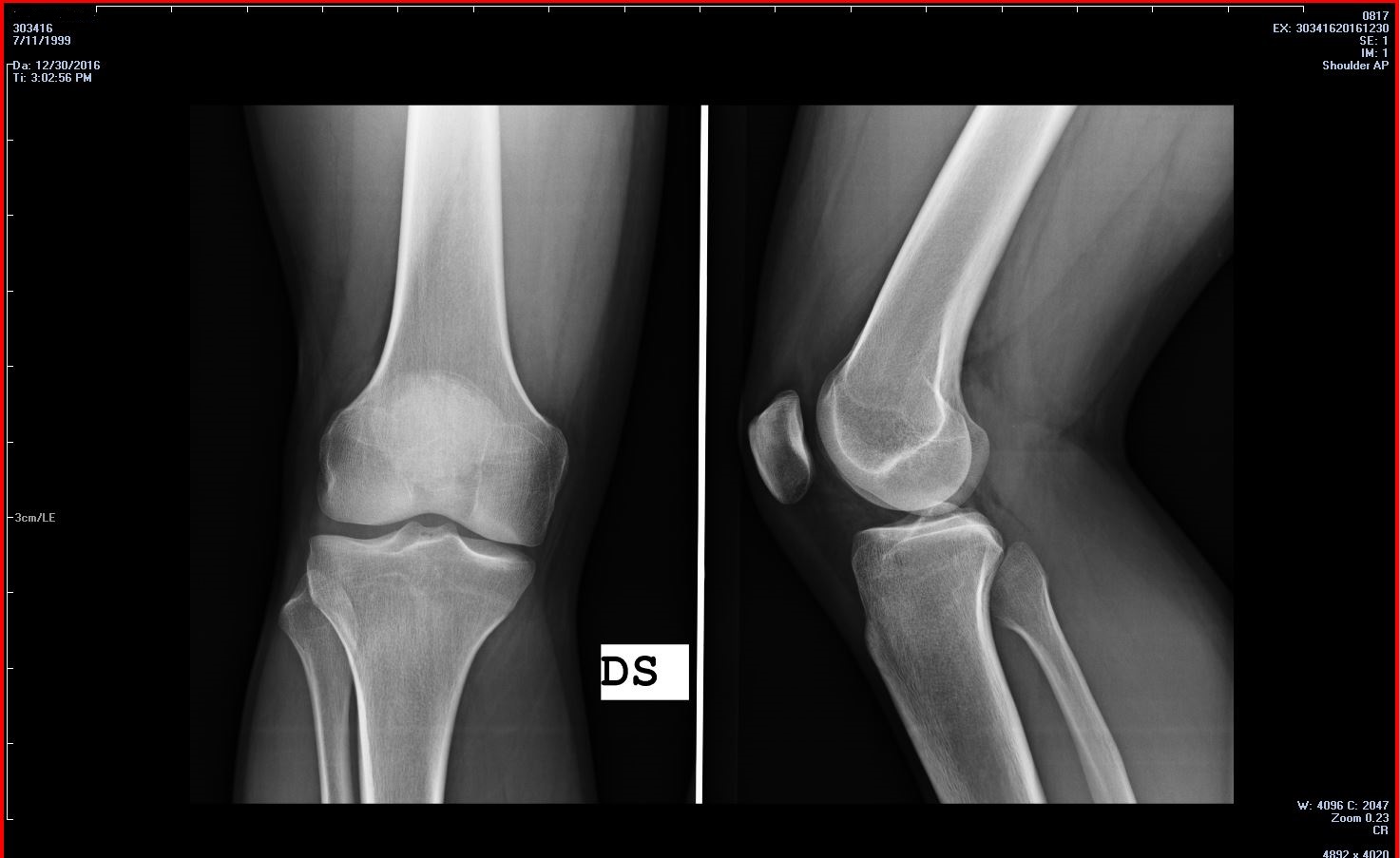
Buongiorno, mio figlio (18 anni) ha un problema di questo tipo:
Talvolta ha un forte dolore interno al ginocchio che si manifesta saltuariamente e che si accentua in seguito ad attività sportiva (bicicletta). Dopo esserci rivolti al medico di base abbiamo effettuato sia la radiografia che la risonanza magnetica. Adesso siamo in attesa di visita specialistica, ma vorrei cogliere l' occasione per chiedere quì un vostro parere.
Pubblico l' immagine della Rx al ginocchio destro, se dovesse servire, dispongo anche delle immagini della Risonanza, che per brevità non posto adesso.
Inoltre, mio figlio dichiara di non essere in grado di allineare verso l' avanti correttamente il piede dx in modo naturale, ma sforzando la torsione. (infatti cammina con i piedi orientati verso l' esterno)

Esito RX:
"Non si rilevano segni di lesioni osteoarticolari, nè si apprezzano immagini riferibili a calcificazioni dei tessuti molli periarticolari".


Esito Risonanza:
"L' esame è stato eseguito in condizioni basali, con sequenze su tre piani ortogonali.

Si rileva la presenza di una plica sinoviale pararotulea piuttosto ispessite per flogosi.
Modesto versamento articolare a livello dello sfondato sovrarotuleo.
Rotula in asse con il normale angolo di bascule.
Cartilagini meniscali ben visibili in tutta la loro estensione, senza segni di lesioni intrinseche.
Contorno spessore condrale dei capi femorotibiali e femororotulei nella norma.
Normale spessore di intensità di segnale dei collaterali dei crociati.


La domanda è: a cosa può essere dovuto tutto ciò?
Sono necessari altri tipi di esami?


Grazie mille a chi volesse rispondere.


Allegati:
Wilstar.JPG
[ 155.62 KiB | Osservato 392 volte ]
 
1 messaggio
Rispondi all’argomento


Visualizza ultimi messaggi:  Ordina per  





ESAMI O PRESTAZIONI MEDICHE CORRELATE

Baropodometria

L'esame baropodometrico serve a misurare la pressione dei piedi su una superficie e permette di rilevare anomalie muscolo-scheletriche, odontoiatriche e ortopediche, ed è usato anche per valutazioni m...







NOTIZIE PER LA SALUTE

Il ginocchio crea i movimenti di flessione-estensione e rotazione interna-esterna Il ginocchio crea i movimenti di flessione-estensione e rotazione interna-esterna

Il ginocchio. Il ginocchio è quell’articolazione che si trova tra coscia e gamba con le...

Laser Nd:YAG

La terapia con il Laser Nd:YAG viene utilizzata nel trattamento del dolore e nella riattivazione rig...

Sindrome di scimitarra: difetto congenito nel ritorno venoso del polmone destro Sindrome di scimitarra: difetto congenito nel ritorno venoso del polmone destro

La sindrome della scimitarra è un raro difetto congenito che consiste in un’anomalia de...

Artrocentesi

L'artrocentesi è il prelievo di liquido e fluidi in eccesso presenti vicino ad una articolazione per...



TROVA LO SPECIALISTA

Casa di Cura San Michele

La Casa di Cura San Michele ha come caratteri distintivi la competenza professio...

Dr Giuseppe Fabrizio Morabito

VETRINA IN ALLESTIMENTO...



ABCsalute S.r.l. ora axélero S.p.A. Copyright 2009 - 2025 ©Tutti i diritti riservati - C.F./Partita IVA IT 07731860966
Sede Legale: via Cartesio, 2 20124 Milano - Cap. Soc. € 68.000,00 i.v - R.E.A. Milano n. 1978319 - N.Telefono +39 02 83623320 - info@axelero.it

Aggiornato al 20/03/2017 - Il sito si finanzia con gli abbonamenti dei medici inserzionisti e non riceve finanziamenti dalla pubblicità o dalla visualizzazione di contenuti commerciali.
Il contenuto editoriale del sito non è influenzato dalle fonti di finanziamento.