Guarda gli argomenti della categoria:  

Autore Messaggio
Bore
Utente di ABCsalute.it
Messaggi: 1
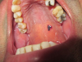
Buongiorno,
ho 55 anni e da circa 2 anni con una frequenza più o meno trimestrale, nel palato molle compaiono improvvisamente delle vescichette che fanno pensare alla rottura di un capillare.
Con la stessa velocità con cui si formano altrettanto rapidamente scompaione nel giro di massimo un giorno.
Provocano un leggero dolore simile ad una irritazione.
Grazie delle indicazioni che vorrete darmi


Allegati:
vescichetta.JPG [32.32 KiB]
Mai scaricato
 
1 messaggio
Rispondi all’argomento


Visualizza ultimi messaggi:  Ordina per  





ESAMI O PRESTAZIONI MEDICHE CORRELATE

Visita otorinolaringoiatrica

La visita otorinolaringoiatrica serve a evidenziare la presenza di patologie che interessano orecchio, naso e gola. Queste sono tre parti del corpo connesse tra loro, per cui spesso accade che un dist...

Esame audiometrico

L’esame audiometrico, detto anche audiogramma o esame dell’udito, si effettua nel corso di una visita otorinolaringoiatrica quando il medico specialista verifica la salute dei orecchio, naso e gola. ...

Manovre liberatorie per vertigini

La vertigine parossistica posizionale benigna (VPPB), detta anche cupololitiasi, è una delle più frequenti forme di vertigine che si manifesta quando il soggetto esegue alcuni movimenti della testa. I...

Causticazione chimica varici del setto nasale

Quando l'epistassi è particolarmente frequente, si può ricorrere alla causticazione nasale, un intervento che mira a bloccare la causa del sanguinamento dal naso. L'intervento può essere di due tipi: ...







NOTIZIE PER LA SALUTE

Stomatite

Infiammazione acuta e molto dolorosa di tutto il cavo orale: guance, gengive e labbra. farmaci indi...

Gli effetti del fumo Gli effetti del fumo

Dal punto di vista medico l’uso prolungato di sigarette e derivati, sta all’origine degl...

Stomatite-aftosa

È una delle malattie infettive più diffuse durante l'infanzia, ed è causata dal virus Herpes simplex...

Instillazioni endovescicali

Le instillazioni endovescicali consistono nella somministrazione di un farmaco che serve a impedire ...



TROVA LO SPECIALISTA

Casa di Cura San Michele

La Casa di Cura San Michele ha come caratteri distintivi la competenza professio...



ABCsalute S.r.l. ora axélero S.p.A. Copyright 2009 - 2026 ©Tutti i diritti riservati - C.F./Partita IVA IT 07731860966
Sede Legale: via Cartesio, 2 20124 Milano - Cap. Soc. € 68.000,00 i.v - R.E.A. Milano n. 1978319 - N.Telefono +39 02 83623320 - info@axelero.it

Aggiornato al 20/03/2017 - Il sito si finanzia con gli abbonamenti dei medici inserzionisti e non riceve finanziamenti dalla pubblicità o dalla visualizzazione di contenuti commerciali.
Il contenuto editoriale del sito non è influenzato dalle fonti di finanziamento.